Examining doctors, writing papers and reading films, can the current AI big model really help doctors?
Source: Deep thinking about artificial intelligence official micro
Nowadays, it is no longer unusual to chat with AI and generate pictures and videos with the help of AI model.The application of AI technology in the medical field has also made remarkable progress, far from being comparable before.
Importance of AI big model in clinical application
Researchers from Fudan University and the University of Massachusetts recently took the latest AI model for the American Medical Licensing Examination.The results show that the scores of AI have exceeded 70% of medical students.[1]. In addition, in a study on the potential and limitations of clinical application of medical AI, Nature also recognized the prospect of the large model of medical AI, and was optimistic about its potential in issuing imaging reports and completing the opening of protein sequence.
.
Practical application of AI large model in clinical diagnosis and treatment
The current AI big model can not only capture the conversation with the patient during the consultation process, but also automatically record the standardized electronic medical records for the doctor to review; You can also search the patient’s past medical history and examination results, the latest clinical guide manual, and eligible clinical trial opportunities; Finally, generate referral, discharge documents, or reimbursement related documents.
Nowadays, more and more medical institutions have assisted clinical diagnosis and treatment with the help of AI big model. Since 2024, at least 20 comprehensive medical systems in the United States have publicly disclosed that they are piloting AI big models, including the famous Mayo Clinic. According to the news, Mayo Clinic is training ECG-AI model to detect coronary artery calcification, coronary artery occlusion and abnormal movement of left ventricle, so as to predict which patients are at high risk of potential coronary artery disease.
In the context of the sweeping medical AI model, many doctors are open-minded. According to the survey data of "The Insight Report of Doctors in Lilac Garden in 2023", taking the tumor field as an example, most oncologists have a positive attitude towards the application of AI, and doctors are constantly understanding its true value through clinical practice and application.
However, not all AI models are competent for clinical work. Clinical diagnosis is a complicated process, which requires comprehensive consideration of various information sources, such as medical images, laboratory results, patients’ complaints and so on. Therefore,AI large model pairThe ability to analyze and understand multimodal data is one of the core values..
Performance of AI big model in cervical cancer screening
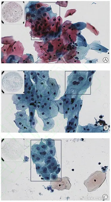
Cervical cancer is one of the common malignant tumors in gynecology. thinprep cytologictest (TCT) is an important means of cervical cancer screening. At present, the lack of cervical cytology readers and diagnostic experience makes it difficult to meet the needs of cervical cancer screening. In this case, the diagnosis efficiency and accuracy of pathologists can be improved by using AI multimodal model to assist doctors to analyze the multimodal information of patients.
In order to verify the auxiliary effect of AI, the Pathology Department of Henan Provincial People’s Hospital selected a total of 86,000 liquid-based thin-layer cervical cytology smears from January 2019 to December 2020, and analyzed the samples with artificial intelligence cytology-assisted reading system, and compared the analysis results with the original diagnosis results.The grading diagnosis result of the artificial intelligence cytology assisted reading system is close to the biopsy result.Table 1; Out of 6880 samples with positive original diagnosis results, 2500 HPV positive samples were selected for grading diagnosis experiment, and the grading results of reading films by artificial intelligence cytology auxiliary screening system were basically the same as those of HPV positive detection results (Table 2). The analysis results show that the sensitivity and specificity of the artificial intelligence cytology-assisted reading system can reach 98.77% and 74.16%.With the help of artificial intelligence cytology-assisted reading system, the sensitivity and specificity of pathologists are improved, with sensitivity of 100% and specificity of 99.99%.
.

![[3] [3]](https://baidubox-emoji.cdn.bcebos.com/imgs/%5B3%5D.png?r=2025100816)

![[3] [3]](https://baidubox-emoji.cdn.bcebos.com/imgs/%5B3%5D.png?r=2025100816)
Beijing Chaoyang Hospital, affiliated to Capital Medical University, also selected 1,000 TCT smears with definite diagnosis from January 2019 to August 2019. Professional pathologists make cytological diagnosis by reading under microscope, and the artificial intelligence cervical cancer auxiliary screening system adopts digital cervical smear and intelligent reading. The results showed that the screening results of pathologists and artificial intelligence were close to the standard samples.With the aid of artificial intelligence, the diagnostic accuracy of pathologists for 1,000 samples can reach 99.80%, and the sensitivity is as high as 100%.
.

Compared with the traditional diagnosis method that only depends on the pathologist’s reading under the microscope, comprehensive analysis of cytology, medical history, medical records, age and other multimodal information by using AI medical multimodal model can greatly help pathologists improve the diagnostic level and efficiency, effectively reduce the interference of unfavorable factors such as artificial skill level and fatigue, and handle more cervical cytology slides while reducing the possibility of leakage and misdiagnosis.
.
Medical Frontier of AI Multi-modal Large Model-Deep Thinking on Artificial Intelligence
As a high-tech company focusing on brain-like artificial intelligence and multimodal large models, ideepwise.ai has been devoted to the research and development and application of multimodal large models for many years. Thinking deeply about Dongni.ai multimodal model has the ability to understand and analyze multimodal information such as images, texts and videos, and has the interpretability, traceability and controllability of reasoning results. In the medical scene, Dongni.ai multimodal model can be used for more accurate analysis and diagnosis based on the patient’s medical history, medical record, age, symptoms, cytomorphology, immunoproteology, karyotype, DNA molecular biology, medical imaging and other multimodal information.
Not only that, for the early screening scene of cancer, ideepwise.ai focused on building a multi-modal medical model.Smart thinking platform for early screening of major diseases and intelligent artificial intelligence platform., which can provide a variety of auxiliary analysis systems and modules for many application scenarios.
Early screening for gynecological cervical cancer includes an auxiliary screening and analysis system for cervical cancer cells and gynecological microorganisms and a DNA ploidy analysis system.
Facing the pathology department, ideepwise.ai not only provides an auxiliary analysis system for gynecology, but also provides a non-gynecological analysis system such as urine exfoliated cell screening for urinary system tumors such as bladder cancer, urothelial cancer and renal pelvis cancer, and serosa exfoliated cell screening for primary lung cancer or other parts of lung cancer. In addition, it also provides assistance for immunohistochemical detection, which plays an important guiding role in tumor grading, targeted therapy, medication and prognosis.
In addition, in terms of heredity and reproduction, ideepwise.ai provides a karyotype analysis system, which plays an auxiliary role in the detection and diagnosis of prenatal and postnatal care, early screening of newborns, blood diseases and genetic diseases.
The following is an introduction to the platform:
Qiaosi cervical cancer auxiliary screening and analysis system is an auxiliary analysis product that supports yin-yang shunt, auxiliary grading and intelligent guidance of suspicious visual field, and provides cervical cancer early screening and auxiliary analysis services for hospital pathology departments, obstetrics and gynecology departments and third-party medical laboratories (Figure 2).

Eye-catching artificial intelligence platform is an artificial intelligence software platform product carried on a microscope, which can assist doctors in interpretation and remote communication through AI technology under the microscope (Figure 3).

On March 30th this year, Deep Thinking Artificial Intelligence and Yijingtong (EVIDENT, which originated from Olympus with a hundred years of optical history) jointly held a cooperation signing ceremony during the 2024 National Pathology Annual Conference. This cooperation is based on the "Eye-catching" artificial intelligence platform, and the two parties combine their respective advantages in software development technology in the field of artificial intelligence and products and channels in the field of microscope, and plan to provide customers with one.Software and hardware integration smart medical industry solutionAnd carry out in-depth strategic cooperation in the direction of digitalization and intelligence of microscopes.
Future prospect of clinical application of AI large model
According to the 2022 medical AI industry research report, there was a lack of open source medical big data in the world before, and there was little data that AI companies could directly obtain. With the maturity of AI technology, a large number of hospitals spontaneously joined the construction of single-disease image database and third-party testing database. The amount of data has increased exponentially, and the difficulty faced by AI enterprises in developing new indications has plummeted, and the product richness of medical AI has increased accordingly. In the future, AI-assisted diagnosis scenarios will be more diverse, which can help clinicians better.
Taking the application of AI model in microscope as an example, pathological section is the gold standard of tumor diagnosis, and the reading ability of section directly affects the diagnosis result. However, the image of the original slice is very huge, and some atypical hyperplasia, early tumor and microcarcinoma are easily missed. It takes time and effort to find all the lesions. With the aid of the auxiliary analysis of AI multi-modal large model, it canGreatly improve the diagnostic efficiency and accuracy of reading films.. Moreover, with infectious diseases, tumors and other diseases requiring multimodal medical evaluation becoming more and more common, the market of AI large model in microscope technology will continue to expand.
The core value of AI medical multimodal model+medical equipment, especially the intelligent terminal side AI medical multimodal model, lies in that it can become the "brain" of medical equipment, and it will land on a large scale with the large-scale application of intelligent terminals such as medical equipment. By combining artificial intelligence multimodal model technology with medical application scenarios, it can help early screening of large-scale major diseases. At the same time, it can effectively solve the contradiction between uneven distribution of medical resources and uneven level of doctors in different regions, improve the accuracy of diagnosis and treatment, and make high-quality medical resources benefit more patients, which has great social significance and industrial significance.
This article is only for medical and health professionals’ reference.
Content Planning: Wang Danqi Content Audit: Zhong Keke
Source of the title map: the creativity of the worm
Image source in the article: Deep thinking about artificial intelligence
References:
[1] Yang Z, Yao Z, Tasmin M, et al. Performance of multimodal gpt-4v on usmle with image: Potential for imaging diagnostic support with explanations
. medRxiv, 2023: 2023.10. 26.23297629.
Moor M, Banerjee O, Abad Z S H, et al. Foundation models for generalist medical artificial intelligence
. Nature, 2023, 616(7956): 259-265.
Hu Aixia, Zhu Lin, He Hui, Hu Jinxing, Wang Xieyan, Li Daohong, Jin Yuwei, Hong Fan, Kong Lingfei, Yang Zhiming, Wen Zhou. Application value of artificial intelligence aided analysis technology in cervical precancerous lesions screening.
. chinese journal of clinical and experimental pathology, 2022 (01): 27-30. doi: 10.13315/j.cnki.cjcep.2022.01.005.
Li Xue, Shi Zhongyue, Yang Zhiming, et al. Application value of artificial intelligence-assisted analysis in liquid-based thin-layer cytology of cervix.
Journal of Capital Medical University, 2020, 41(3): 360-363.